Skip to main content
Cosmetic Dentistry
A healthy, beautiful smile starts here

Cosmetic Dentistry | Dentist
Improve your smile today – call to schedule a consultation!
Claim Now!

Cosmetic Dentistry in Manassas, VA

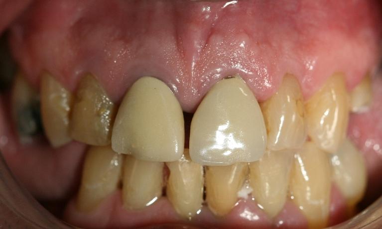
Do you feel good about the way your teeth look when you smile? If there is something that bothers you about the appearance of your smile, we have the solution at MP Dental Associates!

Cosmetic Dentistry Monassas VA | MP Dental AssociatesToday we are able to offer many solutions for cosmetic dental problems. There is no reason to live with a smile you don’t love! Whether you’re interested in a simple teeth whitening treatment or a full smile makeover, our experienced professional team will help you achieve a smile you can be proud of. 

A Cosmetic Treatment for Every Need

If you’re thinking about cosmetic treatment, you may have a lot of questions. Will you be able to fit appointments into your busy life? Will you be happy with the results? 

At MP Dental Associates, we take the time to listen to your concerns and answer your questions fully. We will work closely with you to personalize your treatment to correct just about any problem that’s bothering you. If a concern is important to you, it's important to us!

No matter what you’d like to change about your smile, we’ll help you find a solution:

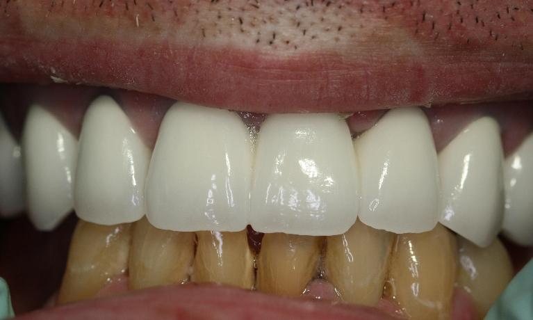
Porcelain Veneers

Porcelain veneers are ultra-thin slices of dental porcelain that are bonded to the front surface of your teeth. Veneers are popular with our patients because they look natural and correct many cosmetic dental problems. After just a few visits to our Manassas dental office, you’ll leave with a fresh smile free of chipped, cracked, or discolored teeth.

Teeth Whitening | MP Dental AssociatesTeeth Whitening

At MP Dental Associates, we offer two options for teeth whitening – in-office and take-home treatments.

Our chairside whitening treatment is fast and effective. The special light-activated professional whitening system can brighten your smile by up to four shades in as little as one hour. 

All our take-home whitening kits are customized just for you. Before you leave our office with your kit, we’ll give you all the information you need to get started. Usually you just wear the trays every day for a period of about two weeks. Results are similar to those achieved with an in-office treatment.

White Tooth-Colored Fillings & Bonding

Most people don’t think of dental fillings as a cosmetic treatment. The truth is that every procedure at MP Dental Associates is done to make your smile beautiful and improve your oral health. 

Today’s filling material, also referred to as composites or composite fillings, can be matched to the color of your own teeth. This lets us make repairs that look more natural than ever. 

This same natural appearance is also perfect for a procedure we call dental bonding. This is an affordable solution for repairing certain cosmetic problems like chips and cracks or for filling uneven gaps and spaces between teeth.

Call Today to Learn about Your Options

With all the amazing advances in dental materials and techniques in recent years, we can solve just about any cosmetic dental problem that is bothering you. 

Please give us a call to arrange a convenient consultation with one of the doctors at MP Dental Associates. We look forward to helping you achieve the smile of your dreams!

Meet Our Doctors:

Dr. Marjan Partovi

Marjan Partovi has been living in the Washington , DC area since 1991. She hails from a family of dentists.

Upon her arrival to the area she attended college at the University of Maryland ...

Dr. Cesar Montalvan

Dr. Cesar Montalvan graduated from UPCH in 1995. Originally from Peru, he moved to the DC area in 2000 to attend the University of Maryland Dental School. There he completed a rigorous two-year postdoctoral ...

Featured Blog Posts - Cosmetic Dentistry

October 15, 2016

Veneers vs. Crowns

Veneers vs. Crowns | MP Dental

If you're not satisfied with the appearance of your smile there are many options for cosmetic dentistry that can deliver the results you desire. For example porcelain veneers and crowns can repair your teeth, while enhancing your smile. At MP Dental, Dr. Marjan Partovi and Dr. Cesar Montalvan create dream smiles for their patients. Learn more here about what crowns and veneers in Manassas, VA can do for you.

What is a Dental Crown?

A dental crown is a restoration that fits over your natural tooth structure like a "cap." It's designed ...

Getting an appointment is fast and easy!
Get Started!