MP Dental Associates

Smile Gallery

Do you need a complete smile makeover? Or maybe you have a few little problems you'd like to correct to improve your appearance and your oral health? In either case, the experienced doctors at MP Dental Associates can help you achieve a perfectly healthy and beautiful smile.

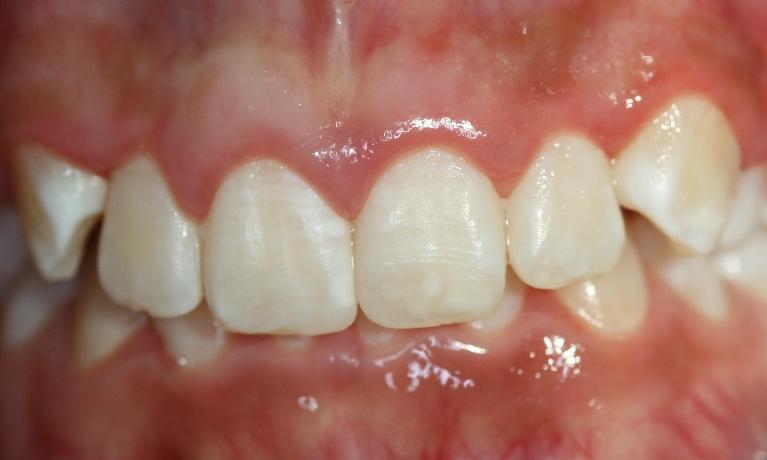
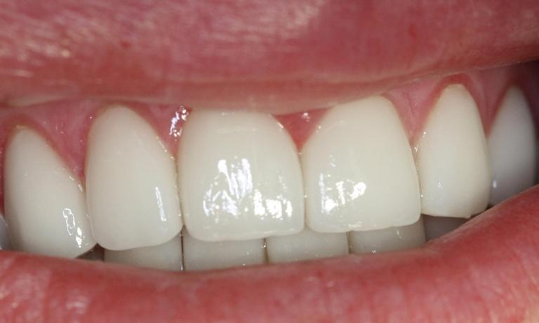
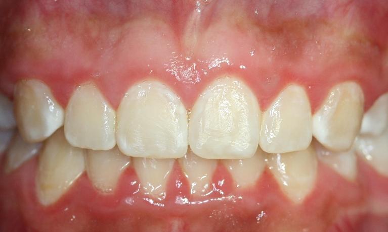
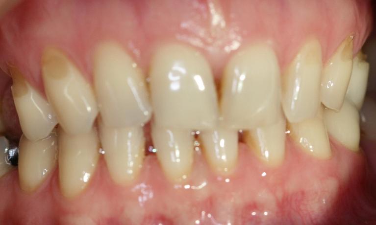
If you're thinking about making some changes but wonder how they will change your look, we've provided some Before and After photos of some of our actual patients. Please take a look, then give us a call so we can talk about the improvements we can make to your smile!

 

Ready to book an appointment?
The Most Capable Hands

've been going to Manassas Dental Arts since I was a junior in high school (almost 10 years ago!). My family and I have always loved their service and how you feel like your in the most capable hands. If you are looking for a dentist that goes above and beyond the cares for your teeth, I highly recommend Dr. Montalvan & his colleagues. -Giuliana

If you have difficulty using our website, please email us or call us at (703) 368-1166
View the ADA Accessibility Statement
Privacy Policy