MP Dental Associates
Request an Appointment
Like us on Facebook
Visit us on Yelp
Watch our Youtube Videos
Leave a Google Review
(703) 368-1166
General and Aesthetic Dentistry
Menu
Call
Book Now
Map
Home
About
Our Team
Technology
Office Pictures
Services
View All
Cosmetic Dentistry
Children's Dentistry
page in progress
Invisalign & Braces
Teeth Whitening
Tooth Extraction
Root Canals
Periodontal Treatment
Emergency Dentistry
Dental Implants
Smile Gallery
Testimonials
Forms
FAQs
View All
Other
Dental Implants
Periodontal Treatment
Teeth Whitening
Blog
Financial
Contact
MP Dental Associates
>
Smile Gallery
>
Orthodontics
Orthodontics
Return to Smile Gallery
Previous
Next
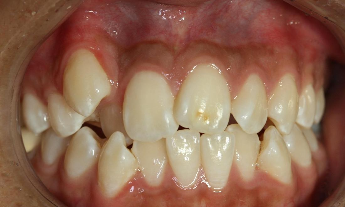
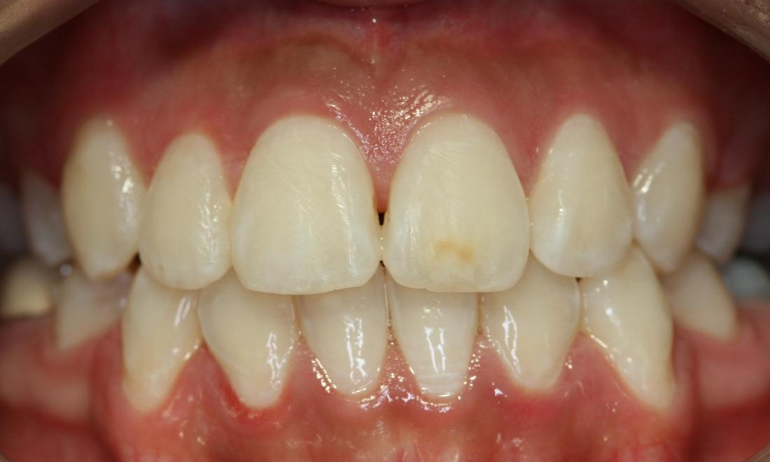
Pediatric patient sought treatment for crossbite, corrected with braces
Related Services:
Invisalign & Braces
Children's Dentistry
Before
After
Improve your smile today – call to schedule a consultation!
Claim Now!
If you have difficulty using our website, please
email us
or call us at
(703) 368-1166
View the
ADA Accessibility Statement
Turn on ADA Views
OK!
×
×
Contact Us Today
Give Us A Call
MP Dental Associates -
(703) 368-1166
Send Us an Email
Request an Appointment
Contact Us
Ready to Schedule an Appointment?
Book Online
Have Questions? Contact Us:
Required Field
Your Name:
Phone:
Email:
Are you a new patient?:
Are you a?
New Patient
Current Patient
How would you like us to contact you?
Please choose
Email
Call
How did you hear about us?
Please choose
I'm an existing patient
Google/Bing
Mailer
Word of mouth
Social media
Other
Who Referred You?:
Appointment Preferences
Monday
Tuesday
Wednesday
Thursday
Friday
Saturday
Your Message:
This site is protected by reCAPTCHA and the Google
Privacy Policy
and
Terms of Service
apply.
Sending...
×
This Patient's Experience
Loading Testimonial...
Loading Case...